Skip to content
Computer Vision in Biosystems
Department of Electrical and Computer Engineering – Aarhus University
Menu
Home
People
Research
ASSIST
CloverSense & SmartGrass
Future Cropping
Machine Learning for Routing in Baggage Handling Systems
RoboWeedMaps
SAFE
Visual Based Navigation for AUV
Datasets
FieldSAFE
Open Plant Phenotyping Database
Plant Seedlings Dataset
CloudCast: A large-scale dataset and baseline for forecasting clouds
Leaf counting dataset
GrassClover Dataset
UAV lidar
EcoStack
Insect detection
Sugarbeet disease dataset
Publications
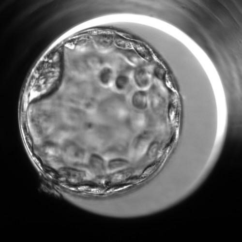
Automatic grading of human blastocysts from time-lapse imaging
Post navigation
Previous Post
Previous
Generating Artificial Images of Plant Seedlings using Generative Adversarial Networks
Next Post
Next
Disentangling Information in Artificial Images of Plant Seedlings Using Semi-Supervised GAN